fotos de restos ovulares Qué son las membranas ovulares

List Content

Extração de Restos Ovulares 2 - YouTube

Extração de Restos Ovulares

Extração de Restos OvularesRealizar a extração de restos ovulares é um procedimento fundamental para garantir a saúde e o bem-estar da mulher. Quando ocorre um aborto espontâneo ou um parto que não foi completamente expulsivo, alguns fragmentos de placenta ou tecido fetal podem permanecer no útero. Esses restos ovulares podem causar sintomas incômodos e até mesmo complicações se não forem removidos adequadamente.

A extração de restos ovulares é realizada por profissionais médicos especializados, como ginecologistas. É um procedimento seguro e relativamente simples, mas requer cuidados e atenção para garantir a eficácia e evitar possíveis complicações.

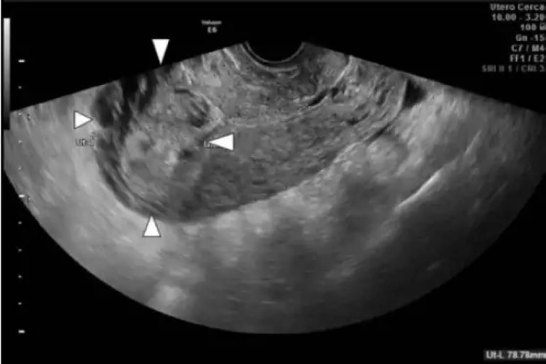
Restos Ovulares Pós-Legrado Puerperal 2D

Restos Ovulares Pós-Legrado PuerperalA ocorrência de restos ovulares após um legrado puerperal é uma situação que também demanda atenção e cuidados médicos. O legrado puerperal é um procedimento cirúrgico realizado após o parto, com o objetivo de remover possíveis fragmentos de placenta ou tecido fetal que tenham ficado no útero.

Em alguns casos, mesmo após a realização do legrado puerperal, podem ocorrer restos ovulares que não foram completamente removidos. Esses restos podem causar sintomas como dor abdominal, sangramento excessivo e outros desconfortos. Por isso, é importante identificar e tratar esses restos ovulares para garantir a recuperação adequada da mulher após o parto.

A extração de restos ovulares pós-legrado puerperal é realizada da mesma forma que a extração de restos ovulares após um aborto espontâneo. O médico utiliza técnicas adequadas para identificar e remover todos os fragmentos que possam estar presentes no útero da paciente. É importante ressaltar que somente profissionais médicos qualificados devem realizar esse procedimento, garantindo assim a segurança e eficácia do tratamento.

Após a extração dos restos ovulares, é necessário um acompanhamento médico adequado para garantir a recuperação completa da paciente. O médico pode prescrever medicamentos para prevenir infecções e controlar os sintomas, além de orientar sobre os cuidados necessários no pós-procedimento.

É importante ressaltar que a presença de restos ovulares pode não ser percebida imediatamente. Por isso, é fundamental que as mulheres estejam atentas aos sinais e sintomas que possam indicar a presença desses fragmentos. Em qualquer suspeita, é essencial buscar orientação médica para que o diagnóstico e tratamento sejam realizados o mais rápido possível.

No entanto, é importante ter em mente que os restos ovulares não são uma ocorrência comum após um aborto espontâneo ou um parto. A maioria das gestações e partos ocorrem sem complicações e sem a necessidade desse tipo de procedimento. Porém, caso seja necessário, a extração de restos ovulares é uma opção segura e eficaz para garantir a saúde e o bem-estar das mulheres.

Neste artigo, abordamos o processo de extração de restos ovulares, tanto após um aborto espontâneo quanto após um legrado puerperal. Ressaltamos a importância de buscar orientação médica especializada para diagnóstico e tratamento adequados. A saúde da mulher deve sempre ser uma prioridade, e a extração de restos ovulares é um procedimento que contribui para garantir o seu bem-estar.

If you are looking for Qué son las membranas ovulares you’ve visit to the right place. We have 5 Pictures about Qué son las membranas ovulares like Los óvulos humanos son imperfectos con una frecuencia sorprendente - LA, Lecho Placentario amplio sintomático tras aborto del primer trimestre and also Los óvulos humanos son imperfectos con una frecuencia sorprendente - LA. Read more:

Qué Son Las Membranas Ovulares

Qué son las membranas ovulares madreshoy.comLecho Placentario Amplio Sintomático Tras Aborto Del Primer Trimestre

Lecho Placentario amplio sintomático tras aborto del primer trimestre diplomadomedico.comLos óvulos Humanos Son Imperfectos Con Una Frecuencia Sorprendente - LA

Los óvulos humanos son imperfectos con una frecuencia sorprendente - LA www.lagaceta.com.arExtração De Restos Ovulares 2 - YouTube

Extração de Restos Ovulares 2 - YouTube www.youtube.comRestos Ovulares Post Legrado Puerperal 2d Clinica Ginecologica Dr

restos ovulares post legrado puerperal 2d Clinica Ginecologica Dr www.youtube.comrestos post puerperal

Extração de restos ovulares 2. Qué son las membranas ovulares. Los óvulos humanos son imperfectos con una frecuencia sorprendente